

安全で適切な価格の日本人に適した歯のホワイトニング
当院のホワイトニングは、厚生労働省認可のオパールエッセンスを使用し、日本人の歯に適した安全で確実性の高いホワイトニングです。
・ホワイトニングで歯を白くしたいけれどどこの歯医者さんに行けばいいの?
・金額がバラバラで種類がたくさんあるけれど何を選択すればいいのかな?
心配は要りません。
厚生労働省が認可している正規ホワイトニング品を使用し、素敵な笑顔と白い歯を手に入れることが出来ます。
友人が歯のホワイトニングをしてみたけれどあまり白くならなかった。
一度白くなったけどすぐ元の色に戻ってしまった。
同じオパールエッセンスを使ったけど、白くならなかった。
そんな話をよく耳にしますが、大丈夫です。
当院独自のマウストレイを使用することによって本当に白くなります。
当院において多くの方が白くなった実績があります。
自信を持ってお勧めするホワイトニングシステム。
綺麗な歯、美しい笑顔を手に入れて下さい。
オパールエッセンス 正規日本語版
費用 |
\4,400(税込み) 一箱3本入り(通常3~4箱使用) |
利点 : |
現状より歯が白くなるため笑顔に自信がつきます |
欠点 : |
ベースの歯の状態により効果に個人差が多少あります。 |
ホワイトニングについての疑問点は下記のページをご覧ください。



虫歯や金属を除去して、歯と同じ色のセラミックを入れる事によって目立たなくなります。
費用 |
一本 55,000円(税込み) |



様々なご要望に対応できるようセラミックの種類を取り揃えております。
特に審美的に優れているオールセラミックはより自然にご自身の歯に調和します。
セラミッククラウンの中には以下の種類があります。
・メタルボンド・・・金属の表面(銀色)を陶質で覆ったかぶせ物
費用 |
一本 88,000円(税込み) |
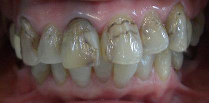
術前


術後

・ジルコニアクラウン・・・金属やプラスチックを含まない
オールセラミックの素材
費用 |
一本 110,000円(税込み) |
・e-maxクラウン・・・セラミック素材を使用したオールセラミッククラウン
費用 |
一本 99,000円(税込み) |
術前 |
術後 |
【特徴】
1.光の反射率が天然歯に近く色が自然
2.年月が経過して歯茎が痩せたときでもより境が際立たない
3.より天然歯に近く自然で美しい
症例によっては、技工士さんが直接写真を撮って細部に渡り色を合わせます。症例によっては、技工士さんが直接写真を撮って細部に渡り色を合わせます。


歯の表面を最小限削り、薄いセラミックを貼り付けることにより
広範囲に渡る変色や隙間などの形態を自然で綺麗な歯に修復します。
費用 |
一本 77,000円(税込み税抜き) |
術前 |
術後 |


利点 : |
審美性の高い治療のため仕上がりが自然で美しい。 |
欠点 : |
強い力が加わったり、強い衝撃で欠けたりする場合がある。 |
